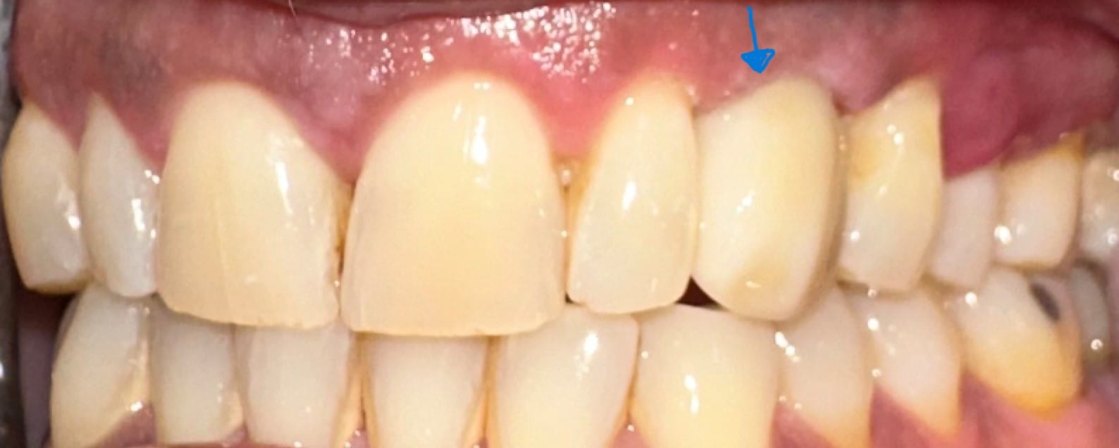
View Angle: front

Before

After
Description: Implant is the tooth with the blue arrow pointing to it. We did not have a before picture but the natural tooth needed to be removed due to advanced bone loss.