Serving Fort Bend
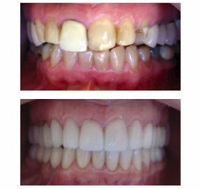
Sometimes it is necessary to reconstruct the entire mouth to improve function, stability and esthetics.
Regain your youth, boost your confidence. See what a sparkling, white smile can do for you and the quality of your social life.
We use state of the art techniques, equipment and materials to accomplish your desired results – the perfect smile, the smile of your life.

Contact Dr. Mammen For Your Full Mouth Reconstruction In Katy, NY!
Interested in the benefits of a full-mouth reconstruction and wish to determine whether you are a candidate? Fill out the form in our contact page or call 281-394-3440 today for a consultation with our experienced dentists. Our practice looks forward to serving you!