Serving Fort Bend
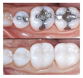
Make your smile beautiful inside and out. If you have ever self-consciously laughed wondering if anyone can see your old, worn silver fillings, then porcelain inlays and onlays may be an option. With the daily stresses exerted on your teeth, old restorations (fillings) sometimes need to be replaced. After a period of time, these fillings go dark with age or can fracture from decay.
Porcelain inlays and onlays are an esthetic alternative and they look exactly like the rest of your natural tooth.

Inlays and onlays protect and restore large portions of the decayed tooth, much like a large filling. An inlay covers more of the inside decayed part of the tooth and an onlay covers some of the inside but also more of the outer structure of the tooth.
Because they are made with porcelain, they are customized to your natural tooth shade and look like your natural tooth. Porcelain inlays and onlays are made from the same strong, tooth colored material that is used for crowns and bridgework. A customized shade makes them virtually undetectable.