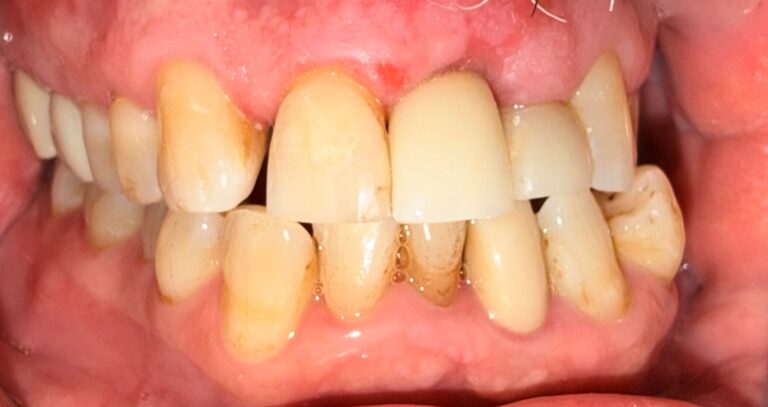
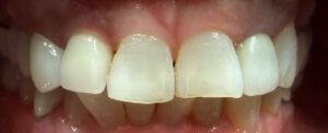
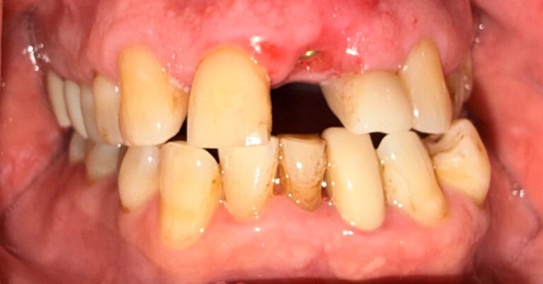
Single Unit Implant

Case ID: Single Unit Implant

Individual results may vary.

Contact Us Today

*All indicated fields must be completed.

Please include non-medical questions and correspondence only.

OFFICE HOURS

Accessibility Toolbar

Scroll to Top