Serving Fort Bend
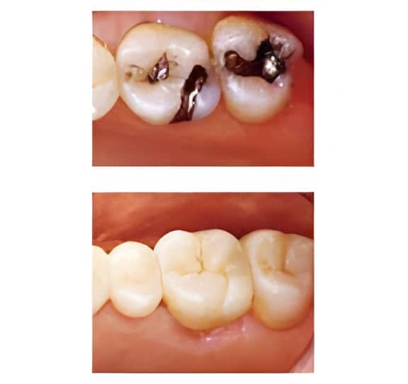
Resin fillings are also referred to as composites, white fillings or bonding. Resins can make a substantial improvement in the appearance of the teeth in a short period of time. Resins are used to repair small cavities or chips in front teeth, as well as fill small cavities in back teeth. Resin cosmetic procedures can usually be completed in about an hour. We will recommend what is best for your particular situation following a thorough evaluation.
