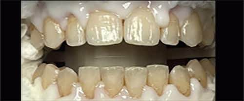
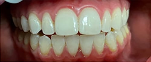
Full Upper Combination of Crowns and Veneers Case ID: Full Upper Combination of Crowns and Veneers Before and After Images Full Upper Combination of Crowns and VeneersView Case