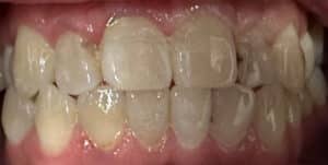
Zoom Whitening

Case ID: Zoom Whitening

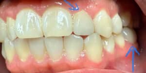
Individual results may vary.

Other Zoom Whitening Patients

Contact Us Today

*All indicated fields must be completed.

Please include non-medical questions and correspondence only.

OFFICE HOURS

Accessibility Toolbar

Scroll to Top