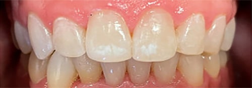
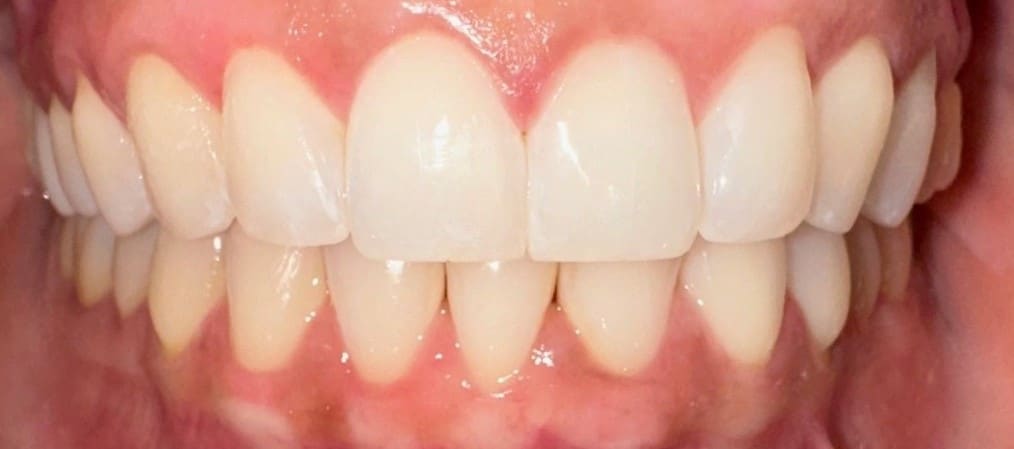
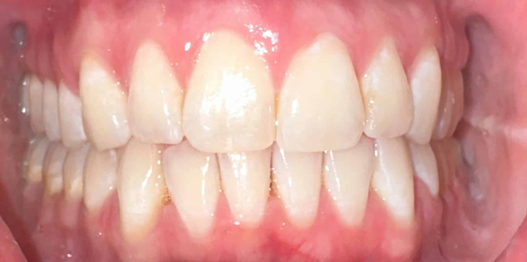
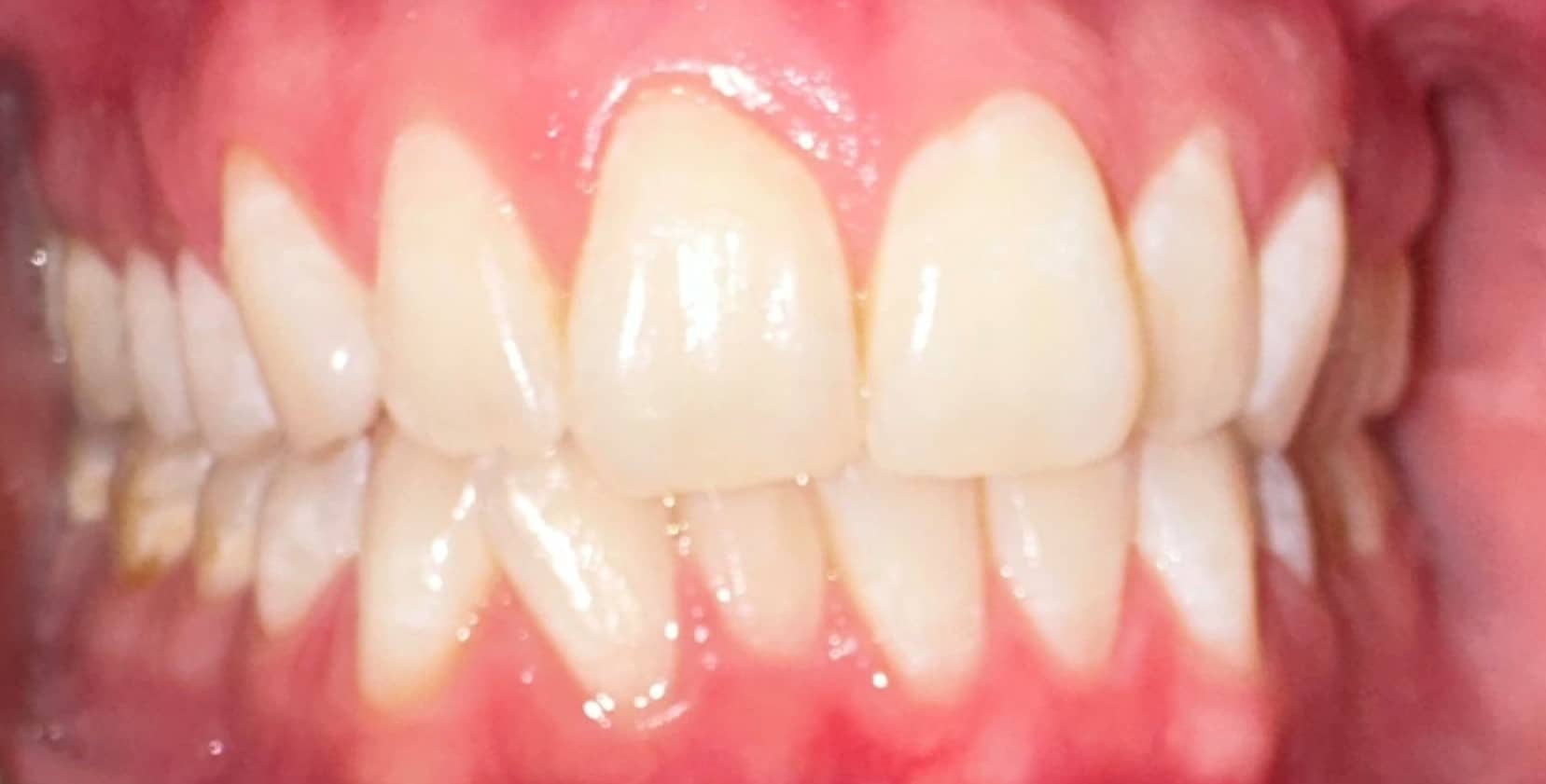
View Angle: front
Before
After
Description: Invisalign