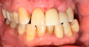
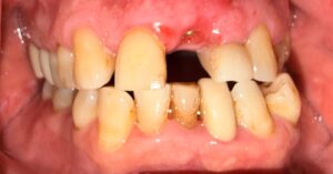
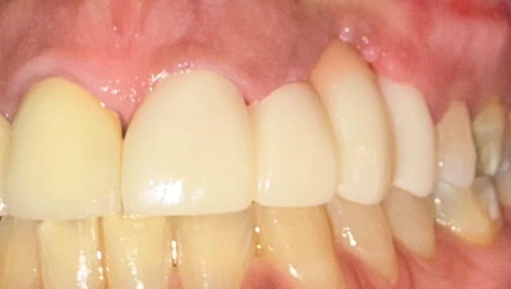
4 Unit Bridge

Case ID: 4 unit Bridge

Individual results may vary.

Other Smile Gallery Patients

Contact Us Today

*All indicated fields must be completed.

Please include non-medical questions and correspondence only.

OFFICE HOURS

Accessibility Toolbar

Scroll to Top