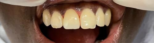
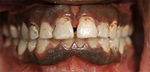
Full Upper Combination of Crowns and Veneers
Case ID: Full Upper Combination of Crowns and Veneers
Case ID: Full Upper Combination of Crowns and Veneers
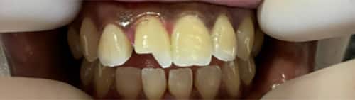
Case ID: Upper Veneers and Crowns
Case ID: Invisalign + 2 Veneers
Case ID: Upper Crowns and Veneers