Serving Fort Bend
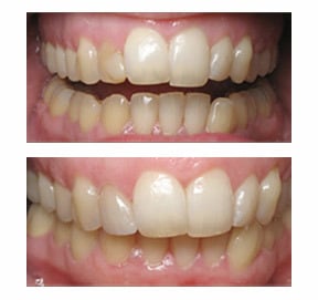
Tooth shaping involves removing a small amount (generally 1 to 2 millimeters) of the outer portion of the tooth (enamel) from the teeth. Tooth shaping can shorten long teeth, round off pointed teeth, and help create a pleasing smile that gently follows the contour of the lower lip. The procedure is quick and painless (the enamel has no nerves), and is usually completed in less than 30 minutes. A small minority of patients get slight sensitivity after tooth shaping. This can be remedied with prescription strength fluoride or in-office desensitizers. The procedure does not cause any long-term damage to the teeth.
