Serving Fort Bend
People seek cosmetic dentistry for a variety of reasons. Some people simply want to look younger, and cosmetic dentistry is like a dental facelift that can quickly “reverse” the natural aging process of teeth. Others have had unattractive teeth their whole lives and have always felt self-conscious because of them. They will rarely smile, which can often hide a warm side of their personality.
Modern dentistry offers a wide variety of treatment options for people seeking to enhance their smile. The options range from porcelain veneers to braces. In many cases, a combination of these techniques is required to deliver best results.

What People Say About Us!
We can explain the many different techniques available in the field of cosmetic dentistry and show you the benefits! If you have ever thought about cosmetic dentistry, this guide can be extremely helpful in understanding the many options available to you.
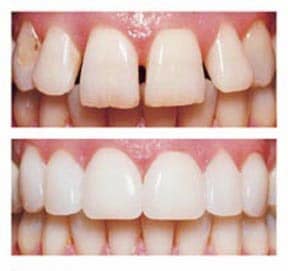
Porcelain Veneers Before & After Photos
