Serving Fort Bend
Clear Orthodontic Aligners
Many adults and teens would prefer to avoid the traditional metal braces that are often recommended when straightening crooked teeth or closing spaces between teeth. Instead, we may recommend using Invisalign – a system of clear, virtually invisible aligners to help you realign crooked teeth, close spaces and improve your smile’s appearance. With Invisalign, you enjoy the benefits of a straight and healthy smile without worrying about how metal braces will make your smile look.
Suite 230
Katy, TX 77494
Ph:Â 281-394-3440
Invisalign is the modern way of straightening your teeth. Invisalign aligners are made from clear, BPA-free acrylic that is designed to remain completely discreet when placed over your teeth. The aligners are designed in a series, and each aligner is crafted to move your teeth a certain degree toward their straighter position.
What People Say About Us!
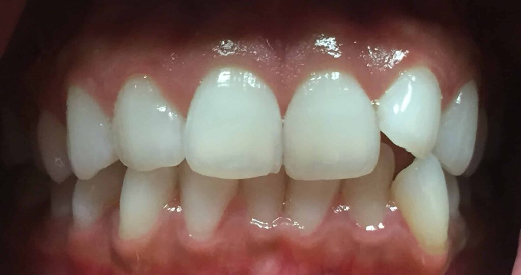
Invisalign – Before & After


Benefits of Invisalign
Invisalign clear aligners are nearly invisible, which gives you the confidence to go out and smile knowing that others won’t even know you are straightening your teeth. Other benefits of Invisalign include:
- Feel more comfort than traditional metal braces, brackets, and wires.
- Brush, floss, and rinse like usual by removing the aligners temporarily thereby reducing the risk of tooth decay and gum disease while your teeth are moving.
- Remove them for short periods, if needed, unlike braces.

